The evolution of Olympic performance: From feet to sweat, four surprising discoveries

Scientists supported by the National Science Foundation are solving the evolutionary mysteries behind athletic abilities

By Jason Stoughton

This weekend a global audience will — virtually — see the long delayed 2020 Summer Olympics finally get underway in Tokyo. As athletes run, jump and lift their way to glory, people will witness physical prowess achieved through countless hours of training and practice.

But the wondrously complex machinery of human bodies has been honed and shaped by a much older and more powerful process: evolution.

Understanding the subtle workings of millions of years of human evolution and how humans became what we are today is one of the grand challenges in science. For many biological anthropologists supported by the U.S. National Science Foundation, it is their life's work. Anthropologists and other researchers are making fundamental discoveries and piecing together the complex puzzle of how human abilities evolved. Their findings reveal surprises about how our bodies work and how those incredible, Olympic-level abilities came to be.

Wheaties, the breakfast of… ancient humans?

When athletes carb load in preparation for an event, they are taking advantage of the body's ability to extract energy from starchy foods. While starchy staples like cereal and pasta are a relatively recent invention, humans' proclivity for carbohydrate-rich foods is anything but. Our storied love affair with carbs is told through the mouths of specimens as old as 100,000 years; specifically, in the fossilized plaque on their teeth.

Fossilized human tooth
Close-up of ancient dental calculus on a fossilized human tooth. Photo Credit: Felix Wey - Switzerland

Anthropologist Christina Warinner studies ancient tooth samples and what they reveal about the oral microbiome — the bacteria in our mouth. Warinner and her colleagues examined microbial DNA in fossilized dental plaque from both modern and ancient humans, Neanderthals, chimpanzees and other species. Among their findings was the presence of particular strains of bacteria that break down starchy foods. But they only found that bacteria in humans and Neanderthals, not chimps or other animals.

The existence of that bacteria in such ancient samples suggests that starchy foods became an important part of the human diet well before the invention of farming. The benefits of carbs — and the calorie-laden glucose they contain — likely played an important role in the evolution of our bodies, including our big energy-sucking brains. "We think we're seeing evidence of a really ancient behavior that might have been part of encephalization — or the growth of the human brain," says Warinner.

Feet, do your stuff

When a sprinter races down the track, their feet are hitting the ground with a force more than twice their body weight. Our feet can withstand such repeated punishment thanks to a complex architecture of elastic arches made from bones and tissue. Researcher Kevin Hatala wants to know how humans evolved such capable feet.

Hatala's lab studies the evolution of human locomotion by analyzing fossilized footprints created about 1.5 million years ago by Homo erectus , the earliest known human ancestors whose bodies and gait were similar to ours. Hatala and his colleagues have developed new X-ray and 3-D animation methods to analyze those old footprints and deduce how our ancient relatives walked, compared to how modern humans walk today.

The work of Hatala and others is revealing how and when humans began walking the way we do now, a development that allows us to not only run Olympic relays but freed up our hands to use tools, carry babies and do other useful tasks.

Image:
Simulation of footprint
A computer simulation of a footprint being formed, showing how a foot and the surface material interact to create that footprint. Photo Credit: Kevin Hatala/Chatham University

Do you really need those extra calories?

Our bodies generally burn up more energy during athletic activities — like swimming the 100-meter freestyle — compared to sedentary activities. Conventional wisdom is that highly active people thus require a greater number of calories in their diet. Evolutionary anthropologist Herman Pontzer begs to differ.

Pontzer and his colleagues study the Hadza people in Tanzania, one of the last hunter-gatherer communities on Earth. For those of us who spend most of our waking hours on laptops with an occasional journey to the coffee machine, the daily routine of the Hadza seems downright superhuman: Adults walk 4 to 7 miles a day while foraging for edible plants, hunting with hand-made bows and gathering water and other necessities.

"The Hadza get more activity in a day than the standard American gets in a week," Pontzer says.

Hadza men follow a game trail
Hadza men follow a game trail with their hand-made bows and arrows. Photo Credit: Herman Pontzer

Despite this active daily regimen, Hadza adults burn between 2,000 and 2,500 calories per day, just like most people. Pontzer's research and that of other scientists is revealing the complex nature of human metabolism and its ability to adapt and change how our caloric fuel is spent within the body.

Pit stains are for winners

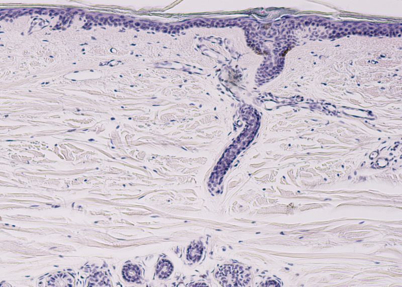
Just like a high-performance computer, humans have an efficient cooling system — sweat — that cools our body and prevents our brains from cooking inside our skulls. In fact, our extreme sweatiness is a uniquely human trait among primates. A high density of sweat glands is a key human evolutionary adaptation, allowing us to survive in hot environments and even run marathons. But how our super-cooling system evolved in our DNA was largely unknown until recently.

Human skin and sweat gland
A stained and magnified cross section of human skin showing an eccrine sweat gland. Photo Credit: Yana Kamberov

Researcher Yana Kamberov led a multidisciplinary study revealing the genetic mechanism that contributes to our high density of sweat glands. The discovery identified a region of our DNA that influences the creation of sweat glands in human skin at a rate far higher than in other ape species. The breakthrough helps explain how our amazing cooling system evolved and why that may have been critical to the evolution of the human brain, which requires a lot of cooling.

So the next time you are working out and sweating like crazy, be proud and tell your gym buddies that our thermoregulatory system is the best among all the primates. Maybe hit the showers first, though.

"Although humans share many characteristics with other primate species, we have unique biological adaptations that definitely set us apart in a primate line-up, including our bipedalism and features of our skin, brains and diet," says NSF Biological Anthropology Program Director Rebecca Ferrell. "The exciting challenge for scientists is figuring out how, when and why all of these adaptations happened and what it tells us about the evolutionary story of humanity."

About the Author

Jason Stoughton
Jason Stoughton
Staff Associate for Strategic Communications

Jason is a science writer and communications specialist for social, behavioral and economic sciences at the National Science Foundation. In addition to being a science communicator — and unabashed science fanboy — Jason is also a photographer and video producer. Before coming to NSF, he worked in public affairs at the National Institute of Standards and Technology and also in the television and video production industry in a variety of roles from creative director to chief coffee fetcher.